Главная Карта сайта
Алескеров Эльчин Шахинович

Фото →

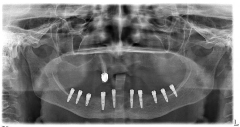
Установка 10 имплантантов на беззубую челюсть с помощью компьютерной программы: Через месяц после удаления
 

Через месяц после удаления

Выберите фото:
Через 2 н..
Через 2 н..

Через 2 н..
Первый в..
Первый в..

Первый в..
Через ме..
Через ме..

Через ме..
Планиров..
Планиров..

Планиров..
Планиров..
Планиров..

Планиров..
Изготовл..
Изготовл..

Изготовл..
До опера..
До опера..

До опера..
Установк..
Установк..

Установк..
Пренарир..
Пренарир..

Пренарир..
Препарир..
Препарир..

Препарир..
Челюсть ..
Челюсть ..

Челюсть ..
Установк..
Установк..

Установк..
Импланта..
Импланта..

Импланта..
Через 2 м..
Через 2 м..

Через 2 м..
Dr.Aleskerov в..
Dr.Aleskerov в..

Dr.Aleskerov в..